

一、研究背景随着宠物经济的快速发展,宠物主人越来越关注宠物的外观(如毛发质量)和肠道健康。磷虾油(KO)源自南极磷虾,是一种天然功能性产品,富含n-3多元不饱和脂肪酸(PUFAs),其中31.13%的二十二六烯酸(DHA)和14.87%的二十碳五烯酸(EPA)以磷脂形式存在。已有研究表明磷虾油具有抗氧化、抗炎、调节免疫和肠道微
03 / 31
2026
一、研究背景随着人口老龄化,肌少症(与年龄相关的肌肉质量和力量下降)成为公共健康问题,它不仅降低了老年人的生活质量、增加了他们跌倒的风险,还给各国医疗体系增加了负担。虽然抗阻运动对抗阻运动对九十多岁的女性同样有效,但由于“合成代谢抵抗”和运动参与率低,相对于年轻人其效果有所减弱,需要替代干预手段。有
03 / 16
2026
一、研究背景顺铂是一种常用化疗药物,但其非特异性细胞毒性会损害卵巢,导致卵巢早衰和不孕。其中,卵巢损伤的机制包括:氧化应激、炎症反应、卵泡耗竭和间质纤维化。目前虽有多种抗氧化剂被研究,但其临床应用受限于生物利用度低或激素副作用等问题。磷虾油富含磷脂型Omega-3脂肪酸和虾青素,具有良好的抗氧化、抗炎和生物
02 / 25
2026
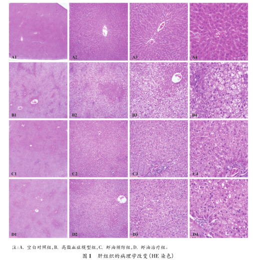
一、背景磷虾油(KO) 和鱼油(FO) 是两种重要的海洋来源长链多不饱和脂肪酸(LC-PUFAs)补充剂,富含EPA和DHA。KO中EPA/DHA主要以磷脂形式存在,并含有虾青素(astaxanthin);FO中则以甘油三酯形式为主。两者因具有抗氧化和抗炎潜力,在预防和治疗心血管疾病、肥胖、炎症性疾病等方面受到广泛关注。二、研究内容(1)主要
02 / 14
2026
一、研究背景糖尿病周围神经病变(DPN)是糖尿病常见并发症,约50%的糖尿病患者受累,临床表现为感觉异常、疼痛、足部溃疡等,目前尚无FDA批准的治疗方法。既往研究表明,鱼油中的ω-3多不饱和脂肪酸(EPA与DHA)对糖尿病神经与血管并发症具有改善作用。随着ω-3补充剂广泛应用,其来源可持续性、环境友好性与效果差异成为关
02 / 06
2026
12月26日,以“深耕科技创新,向海要粮问药”为主题,第二届海洋药物和生物制品国际学术研讨会在青岛启幕。来自中国水产科学研究院黄海水产研究所、中国药科大学、中国海洋大学、挪威奥斯陆大学、德国杜塞尔多夫大学等国内外顶尖高校院所的专家学者、国际头部企业相关负责人齐聚一堂,围绕南极磷虾的药用价值开发与生物制品
01 / 07
2026